Search icon

News

11th Feb 2015

Hong Kong: Doctors remove ‘twin foetuses’ from newborn baby girl

Foetus-in-fetu is an extremely rare phenomenon

Katie Mythen-Lynch

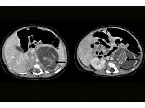
A Chinese baby has been born with two foetuses inside her body, in the latest case of an extremely rare phenomenon called foetus-in-fetu.

A developmental abnormality in which a mass of tissue resembling a foetus forms inside the body, foetus-in-fetu only occurs in one in every 500,000 births.

Doctors in Hong Kong successfully operated on the three-week-old girl, who was 9lb and otherwise healthy, removing the growths from her abdomen.

Originally believed to be tumours, doctors discovered the foetuses had developed to about 10 weeks and had a spine, some skin and the beginning of limbs, according to the Hong Kong Medical Journal.

Surgeon, Dr. Nicholas Chao said the discovery was “one of those very rare things that make the world stand still,”

No posts have been found