Open main menu
Search icon
Search icon
Open main menu
All sections
News
Lifestyle
Health
Opinion
Travel + Fun
Style
Pregnancy
Fertility
Keep Discovering
Search icon
Close menu
CATEGORIES
News
Lifestyle
Health
Opinion
Travel + Fun
Style
Pregnancy
Fertility
CATEGORIES
News
Lifestyle
Health
Opinion
Travel + Fun
Style
Pregnancy
Fertility
More
About HerFamily
Terms & Conditions
Privacy Statement
Archive
User Generated Content
Contact Us
Our Brands
Her
Lovin
Lovin Dublin
JOE
Sport JOE
Gay Star News
science
Parenting
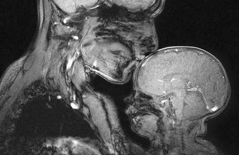
This Mama /Baby MRI Scan Shows The Fragility Of Human Life
By Katie Mythen-Lynch
News
Science: Women Who Have (Last) Babies After 33 Live Longer
By Amanda Cassidy
News
Hospital Bag Panic No More! Science Can Now Pinpoint Exactly When You Will Go Into Labour
By Amanda Cassidy
Parenting
Make Water Walk And Other Amazingly Easy Home Science Experiments For Kids
By Amanda Cassidy
News
Is Nature Or Nurture Responsible For Your Child’s Personality Traits?
By Amanda Cassidy
Pregnancy
Meet The Miracle Baby Girl Who Was Born TWICE
By Trine Jensen-Burke
Parenting
Women’s Breasts Start To Eat Themselves Once They Are Done Breastfeeding
By Amanda Cassidy
News
Babies Born With Big Heads Are More Likely To Be Intelligent
By Amanda Cassidy
Parenting
This Is The Real Reason We Find Babies So Irresistible (Hint: It’s Biology)
By Trine Jensen-Burke
News
Breakthrough treatment could restore fertility in cancer survivors
By Trine Jensen-Burke
1
2
…
12
13
14